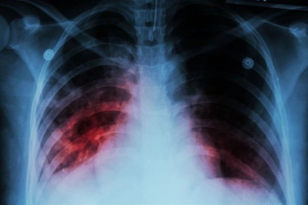
FDA Approved Medicine Offers New Hope For TB Sufferers
Until quite recently, people suffering from highly drug-resistant tuberculosis had poor treatment options and a poor prognosis. However, a new…
Guest Writer9 September 2019


![worldwide cannabis [longevity live]](https://longevitylive.com/wp-content/uploads/2019/09/cannabis-cigarette-facial-expression-395087-620x413.jpg)

![anti-aging colostrum [longevity live]](https://longevitylive.com/wp-content/uploads/2019/09/bodybuilding-exercise-fitness-2294361-620x414.jpg)



![mens health [longevity live]](https://longevitylive.com/wp-content/uploads/2019/09/adult-biting-close-up-265316-620x413.jpg)

![women [longevity live]](https://longevitylive.com/wp-content/uploads/2020/01/photo-of-women-walking-down-the-street-1116984-100x100.jpg)






